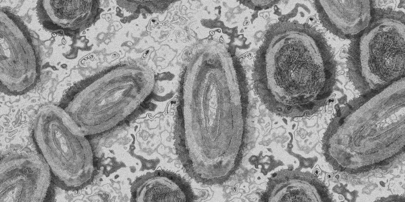
Objavljeno UPUTSTVO: Šta raditi ako se MAJMUNSKE BOGINJE pojave kod nas?
Majmunske boginje pojavile su se i više evropskih zemlja zbog čega svetska javnost pomno prati situaciju. Pre nekoliko dana je objavljeno da je registrovano 80 slučajeva u 12 zemalja. Jedna od njih nalazi se u našem komšiluku. U pitanju je Slovenija, gde se pojavio prvi zaraženi. Ukoliko boginje dođu u Srbiju, virusolozi kažu da nema … Nastavi sa čitanjem Objavljeno UPUTSTVO: Šta raditi ako se MAJMUNSKE BOGINJE pojave kod nas?
Umnožite i nalepite ovaj URL u svoje Vordpresovo veb mesto kako biste ugnezdili
Umnožite i nalepite ovaj kod u svoje Vordpresovo veb mesto kako biste ugnezdili